Meet the New ARDS: Expert panel announces new definition, severity classes

(image: Wikipedia)
An expert panel announced a new definition and severity classfication system for acute respiratory distress syndrome (ARDS) that aims to simplify the diagnosis and better prognosticate outcomes from the life-threatening pulmonary illness.
The proposed "Berlin definition of ARDS" predicted mortality ever-so-slightly better than the existing ARDS criteria (created at the 1994 American-European Consensus Conference/AECC), when applied to a cohort of 4,400 patients from past randomized trials. The Berlin definition includes the following ARDS criteria:
"Acute lung injury" no longer exists. Under the Berlin ARDS definition, patients with PaO2/FiO2 200-300 would now have "mild ARDS."
Onset of ARDS (diagnosis) must be acute, as defined as within 7 days of some defined event, which may be sepsis, pneumonia, or simply a patient's recognition of worsening respiratory symptoms. (Most cases of ARDS occur within 72 hours of recognition of the presumed trigger.)
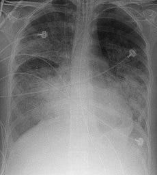
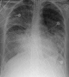
Bilateral opacities consistent with pulmonary edema must be present but may be detected on CT or chest X-ray.
There is no need to exclude heart failure in the new ARDS criteria; patients with high pulmonary capillary wedge pressures, or known congestive heart failure with left atrial hypertension can still have ARDS. The new criterion is that respiratory failure simply be "not fully explained by cardiac failure or fluid overload," in the physician's best estimation using available information. An "objective assessment"-- meaning an echocardiogram in most cases -- should be performed if there is no clear risk factor present like trauma or sepsis.
The new Berlin definition for ARDS categorizes it as being mild, moderate, or severe: ARDS Severity PaO2/FiO2* Mortality** Mild 200 - 300 27% Moderate 100 - 200 32% Severe < 100 45% *on PEEP 5+; **observed in cohort There is no change in the underlying conceptual understanding of ARDS as an "acute diffuse, inflammatory lung injury, leading to increased pulmonary vascular permeability, increased lung weight, and loss of aerated lung tissue...[with] hypoxemia and bilateral radiographic opacities, associated with increased venous admixture, increased physiological dead space, and decreased lung compliance."
Although the authors emphasize the increased power of the new Berlin definition to predict mortality compared to the AECC definition, in truth it's still poor, with an area under the curve of only 0.577, compared to 0.536 for the old definition.
Clinical variables that are widely believed to be important and useful in the management of ARDS -- static compliance of the respiratory system, radiographic severity, PEEP > 10, and corrected expired volume >10L/min -- were not predictive of mortality or other clinical outcomes. After including these variables in the initial draft definition and testing them empirically in the cohort, they were all dropped from the final Berlin definition for ARDS.
Authors did find a post-hoc "high risk profile" of patient with a 52% mortality from ARDS. These patients had severe ARDS (PaO2/FiO2 ratio < 100) and either a static compliance of <= 20 mL/cm H2O or a corrected expired volume of >= 13 L/min.
What was wrong with the old definition of ARDS: 1) acute onset of hypoxemia with PaO2 / FiO2 ratio <= 200 mm Hg, 2) bilateral infiltrates on chest X-ray, with 3) no evidence of left atrial hypertension ?
No explicit criteria for defining "acute" -- leading to ambiguity regarding cases of acute-on-chronic hypoxemia.
High interobserver variability in interpreting chest X-rays.
Difficulties identifying / ruling out cardiogenic or hydrostatic pulmonary edema, especially in an era of plummeting pulmonary artery catheter use.
PaO2 / FiO2 ratio is sensitive to changes in ventilator settings.
The panel's findings, endorsed by the European Society of Intensive Care Medicine, the American Thoracic Society (ATS) and the Society of Critical Care Medicine (SCCM), emerged from meetings in Berlin to try to address the limitations of the earlier ARDS criteria. Authors published their results in the May 21 2012 online edition of JAMA.
The ARDS Definition Task Force. Acute Respiratory Distress Syndrome. The Berlin Definition. JAMA online May 21, 2012.


