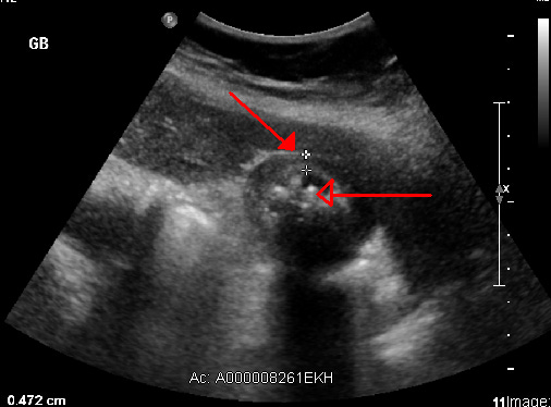
If an ED doc sees cholecystitis on ultrasound, believe them
But if it's absent, get a formal abdominal ultrasound to be sure

The diagnosis of cholecystitis can be made quickly and accurately in the emergency department using point-of-care ultrasound, according to a new meta-analysis.
The authors analyzed 7 studies (n=1772) that tested …
Keep reading with a 7-day free trial
Subscribe to PulmCCM to keep reading this post and get 7 days of free access to the full post archives.


