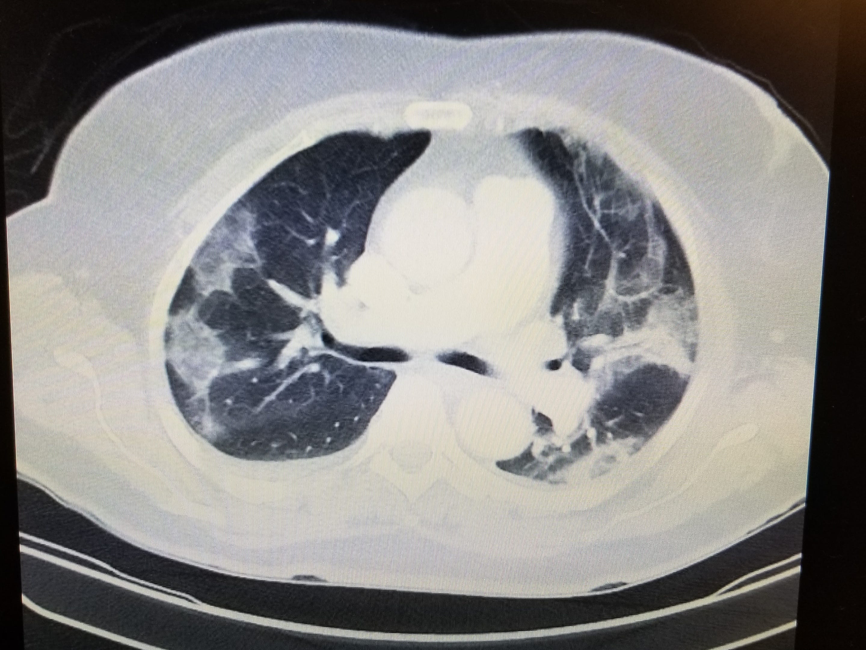
Steroids for severe pulmonary infections: Review
JAMA review supports the new paradigm of steroids-for-most in the ICU
Corticosteroids have always had a place in critical care, even if only as salvage therapy under the adage “no one dies in the ICU without getting steroids first.”
Evidence was conflicting for many years as to steroids’ potential benefit during critical illness, which patients should receive them, and the optimal dosing.
Uncertainty still predominates as t…
Keep reading with a 7-day free trial
Subscribe to PulmCCM to keep reading this post and get 7 days of free access to the full post archives.



