The Year in Critical Care: Everything Else
Wrapping the 2025 with posts on PE, hemorrhages, surgery, and more
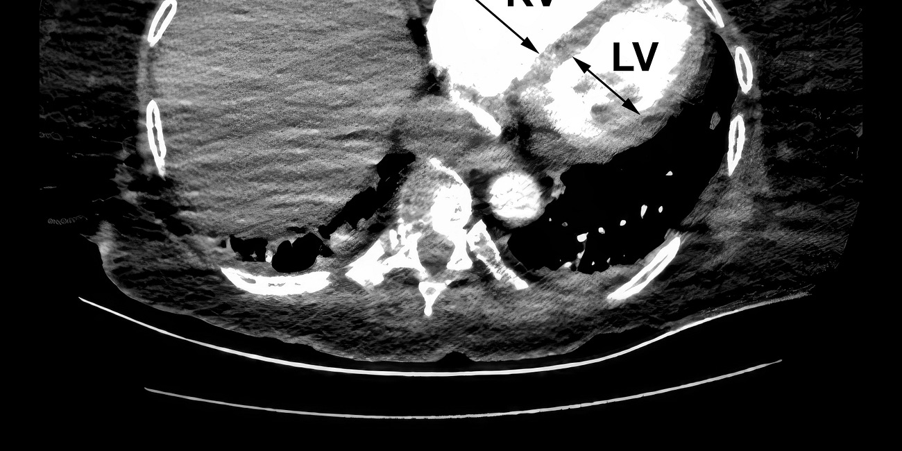
Thrombectomy vs. anticoagulation alone for intermediate-high risk PE (STORM-PE trial)
Patients with pulmonary embolism severe enough to cause hypotension (so-called massive PE) are at high risk for death and should receive systemic thrombolytic therapy and/or invasive interventions.
Deferring dialysis for AKI improved renal recovery (LIBERATE-D trial)
Acute kidney injury is a common occurrence during critical illness. Most patients experience mild to moderate AKI and recover most or all of their renal function within weeks.
Bicarb for AKI + acidosis prevents dialysis needs in the ICU (BICARICU-2 trial)
Correction to our last correction: Thanks to Dr. Thomas Zeuner for informing us that norepinephrine dosing is not reported in tartrate units “commonly in Europe”; this may be a convention that is unique to France. Come on, France!
Brain death imaging tests are unreliable (INDex study)
To help make the diagnosis of brain death, specialized brain imaging tests are endorsed in many U.S. hospitals’ policies for patients who cannot complete an apnea test or other key aspects of the exam.
The Real-World Boards: Question #8
These are the Real-World Boards. As in the real world, there is often no “right” answer, and you are only competing against yourself. Upgrade to the Lifelong Learner level for full access to all the questions and unlimited CME credits with an included Learner+ account.
PE & DVT prevention for cancer patients (API-CAT trial)
Patients with cancer who develop pulmonary embolism or deep venous thrombosis have the highest rates of recurrence. As many as 20-25% of people with active cancer will experience a second PE or DVT in the first 12 months after their first event.
Thoracentesis for pleural effusions from heart failure: does it help?
Thoracentesis is commonly performed to drain pleural effusions associated with heart failure.
Thromboelastography (TEG, ROTEM™, etc) for bleeding: Review (Part 1: Overview)
This is part 1 of a two-part review. Read Part 2 here:
Thromboelastography (TEG/ROTEM™) for bleeding: Review (Part 2: Evidence for Use)
Viscoelastic testing, a.k.a., thromboelastography or rotational thromboelastometry (ROTEM™), is a method of analyzing clot kinetics and mechanical properties to better guide the management of severe hemorrhage.
Should "provoked" PEs get prolonged anticoagulation?
Increasing evidence shows that most people who experience pulmonary embolism or deep venous thrombosis (collectively called venous thromboembolism) that is not clearly caused by a transient risk factor are at elevated risk for recurrence after treatment with anticoagulants.
The Real-World Boards: Question #4
These are the Real-World Boards. As in the real world, there is often no “right” answer, and you are only competing against yourself. Upgrade to the Lifelong Learner level for full access to all the questions and unlimited CME credits with an included Learner+ account.
RESULTS FROM CCR25: June 16, 2025
The Critical Care Reviews meeting has become a major annual event in critical care, and 2025 continues the tradition. Multiple important randomized trial results were announced at the June 11-13 meeting in Belfast, Ireland, and their papers were simultaneously published in top medical journals, including the
Transcatheter Tricuspid Valve Replacement for Severe Tricuspid Regurgitation (TRISCEND II trial)
Transcatheter aortic-valve replacement (TAVR) and mitral transcatheter edge-to-edge repair (M-TEER) have emerged as lower-morbidity options for selected patients with severe aortic stenosis or mitral regurgitation. Transcatheter tricuspid valve replacement has proved to be more challenging.
Tranexamic acid to prevent bleeding in general surgery
Tranexamic acid (TXA) is a synthetic molecule derived from the amino acid lysine. TXA helps induce coagulation through antifibrinolytic effects by reversibly blocking lysine-plasminogen binding sites. This slows plasminogen’s clot-dissolving activity.


















