Ultrasound in the ICU: Hypotension after a cholecystectomy (Case 1)

Ultrasound Case 1
Hypotension after a Cholecystectomy: Why?
From Philippe Rola and the Critical Care & Ultrasound Institute, the first in a series of educational ultrasound cases on PulmCCM: A 64 year-old male is admitted to the ICU from the surgical ward with hypotension, 3 days post-cholecystectomy. He is intubated for airway protection following loss of consciousness with systolic BP in the 60’s. Past medical history includes hypertension, diabetes, coronary artery disease, and atrial fibrillation. His surgery was uncomplicated. Medications include ciprofloxacin, metronidazole, metoprolol, ASA, atorvastatin, amlodipine and enoxaparin. The patient looks unwell, pale, and is sedated, intubated, and mechanically ventilated. Chest is clear without wheezing and with good air entry bilaterally. Heart sounds irregular without significant murmurs or rubs, and no jugular venous distension noted. Abdominal exam reveals some distension but without rigidity. Bowel sounds are faint, and some mild tenderness around laparoscopic sites but otherwise no pain on palpation. No masses are felt. Skin is cool with some livedo around the knees. EKG shows rapid atrial fibrillation without ischemic changes. Current laboratory tests are pending, those from the morning are within acceptable ranges.
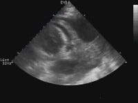
ULTRASOUND VIDEOS (3):
Vote for the best answer below, then click here for a case discussion.
[polldaddy poll=7181429]
More ultrasound cases and educational resources are available at the Critical Care & Ultrasound Institute.

