The Real-World Boards: Question #29
When did this stroke start, and what to do now?
These are the Real-World Boards. As in the real world, there may be no single “right” answer, and you are only competing against yourself. Upgrade to the Lifelong Learner level for full access to all the questions and unlimited CME credits with an included Learner+ account.
A 47-year-old man is brought to your rural hospital from EMS. He was found on the floor at home by his sister after an unknown period of time. She spoke with him on the phone yesterday morning, when he seemed normal.
He is lethargic with a dense right hemiparesis, with acceptable vital signs, and is protecting his airway. He cannot communicate. His sister says “strokes and heart problems run in our family,” but that he has been quite healthy except for chronic back and neck pain, for which he sees a chiropractor regularly.
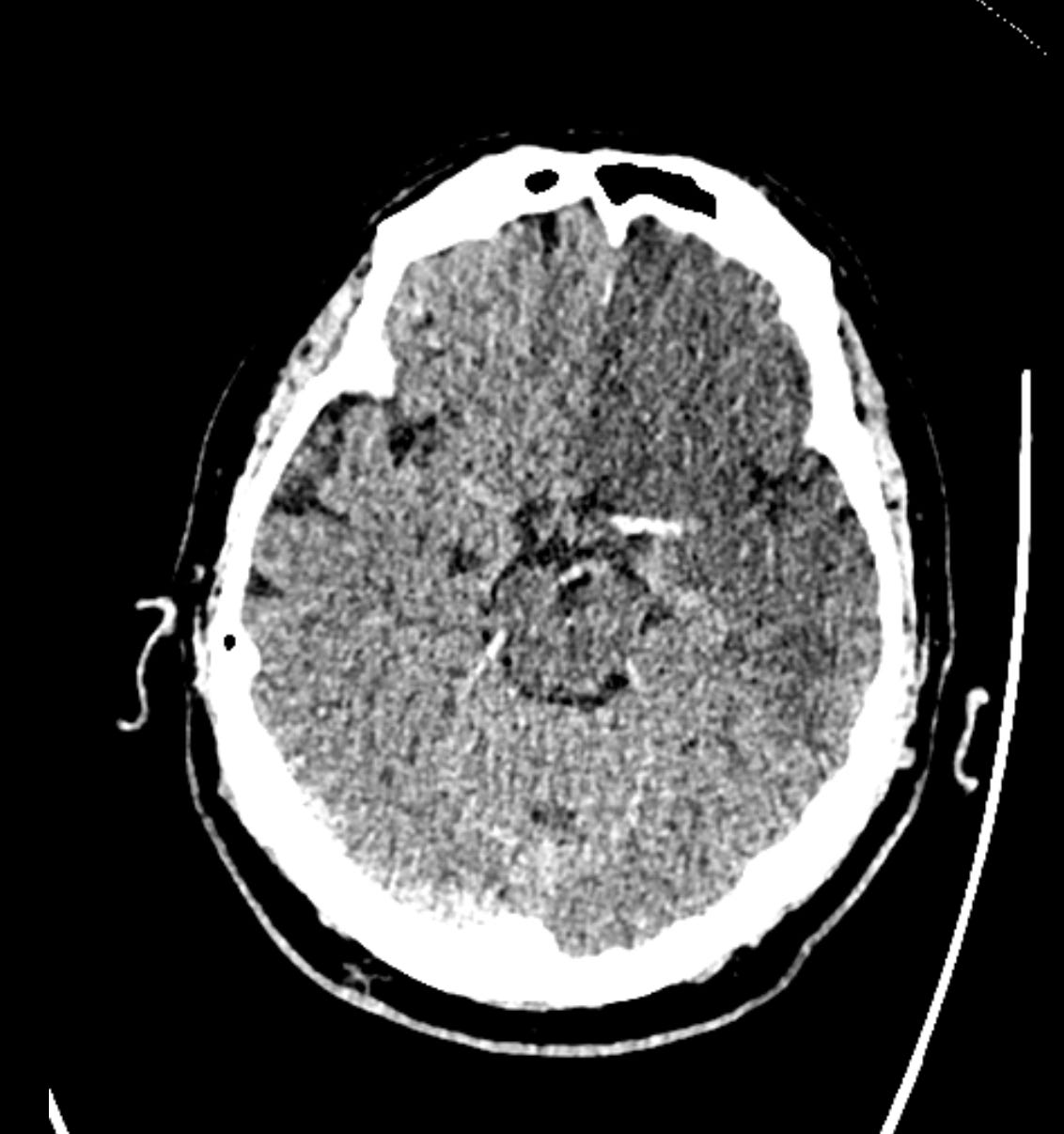
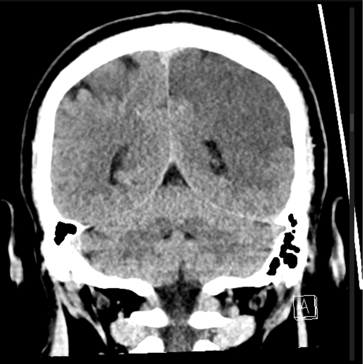
A non-contrast CT head is shown below.
Tele-neurology has been contacted, but has not yet responded. Transfer to a stroke center has been requested, but due to inclement weather, transport will not occur for at least 2 hours. MRI and CT perfusion imaging are not available.

Ischemic strokes presenting within 4.5 hours of the onset of disabling symptoms should usually receive thrombolytic therapy (alteplase or tenecteplase).
So-called “wake-up strokes” occur after an unknown interval, due to sleep or an inability of the patient to recall or describe the onset of stroke symptoms. With an unknown time of onset, wake-up strokes complicate management significantly.





