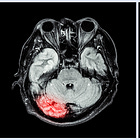
Critical Care 2024 Year in Review (Part 3)PREOXI, BLING III, ASTER, ANNEXA, GRECO, plus reviews on PPIs, TRALI, nutrition, morePulmCCMDec 20, 202414ShareNIV (BiPAP) for preoxygenation before intubation prevented hypoxemia and cardiac arrest (PREOXI trial)PulmCCM·June 16, 2024Read full storyTransfusion-associated lung injury (TRALI): ReviewPulmCCM·May 17, 2024Read full storyStress ulcer prophylaxis in the ICU: ReviewPulmCCM·June 22, 2024Read full storyNutrition strategies in critically ill patients: Review...·May 31, 2024Read full storyProtein targets for nutrition in critical illness: ReviewPulmCCM·June 3, 2024Read full storyContinuous antibiotic infusions for sepsis: do they save lives?PulmCCM·June 16, 2024Read full storyCan acetaminophen improve outcomes in sepsis?PulmCCM·June 3, 2024Read full storyWhich video laryngoscope is best for expected difficult airways?PulmCCM·June 9, 2024Read full storyWhat are time-limited trials in critical care?PulmCCM·June 10, 2024Read full storyAndexanet vs prothrombin concentrate complex for intracranial hemorrhage (ANNEXA-I trial)PulmCCM·May 18, 2024Read full storyCan a gut hormone protect the brain after cardiac arrest? (GRECO trial) PulmCCM·May 13, 2024Read full storyHow bad are outcomes after transfer to LTACH?PulmCCM·June 16, 2024Read full storyThrombectomy proves beneficial for the largest ischemic strokes, too (LASTE trial)PulmCCM·May 12, 2024Read full storyPreviousNext