The Latest in Critical Care: October 29, 2025
PROTECT trial for VAP prophylaxis; Vitamin D to prevent AKI; Determinants of ECPR outcomes; MIND trial for surgery on ICH.
Antibiotic prophylaxis for pneumonia in comatose patients (PROTECT trial)
Two randomized trials (ANTHARTIC and PROPHY-VAP) previously suggested that antibiotic prophylaxis might prevent hospital-acquired pneumonia in comatose patients.
Ceftriaxone for all vented brain injured patients? (PROPHY-VAP)
Patients with strokes and traumatic brain injuries who require mechanical ventilation due to coma are at very high risk for developing ventilator associated pneumonia. Prophylactic antibiotics, given enterally or intravenously, have been shown to reduce the rate of VAP, but with unproven clinically meaningful benefits like survival. Secondary consequenc…
A third, PROTECT, points to the same conclusion, although it was single-center, underpowered, and terminated early due to slow enrollment and funding issues at n=52.
Survivors of out-of-hospital cardiac arrest who received ceftriaxone prophylaxis (2 g b.i.d. for 3 days) had lower rates of pneumonia (38% vs 69%) and less receipt of broad-spectrum antibiotics during their hospitalization, compared to those receiving placebo.
Ceftriaxone-prophylaxed patients also had significantly lower recovery of resistant bacteria from the GI tract, which was hypothesized to be due to their lower total exposure to antibiotics.
Vitamin D for AKI prevention?
Vitamin D research was all the rage in the early 2000s, when it was tested for its potential effects on seemingly every illness. After numerous small trials showed benefits from vitamin D in critically ill patients, two larger trials were performed:
The VITdAL-ICU trial (JAMA 2014) did not find that high-dose vitamin D reduced hospital length of stay or mortality, among 475 critically ill vitamin D-deficient adults.
VIOLET (NEJM 2019): high-dose vitamin D did not reduce mortality in sepsis and respiratory failure among 1,078 vitamin D-deficient adults.
Although a meta-analysis of 19 trials involving 2,754 patients demonstrated an overall mortality benefit (RR 0.83) and a reduction in the need for mechanical ventilation, the trials that showed benefits were often single-center and small.
So it was not surprising when vitamin D did not prevent acute kidney injury among 150 critically ill adults considered to be high risk for AKI. The findings mirror those of a 2021 trial that failed to show a benefit of vitamin D in preventing AKI among 111 cardiac surgery patients.
—Leaf et al. Randomized trial of activated vitamin D for acute kidney injury prevention in critically ill patients. JCI Insight 2025
Vitamin D supplementation in critically ill patients: a meta-analysis - 2025
Age and time to initiation influence outcomes after ECPR
After early promising results at a single center in the ARREST trial, extracorporeal CPR (ECPR, i.e., CPR by ECMO) failed to show improvements in outcomes in multicenter trials.
ECMO vs CPR for pre-hospital resuscitation after cardiac arrest (INCEPTION trial)
In the Netherlands, 160 patients who could not regain spontaneous circulation after 15 minutes of CPR following out-of-hospital cardiac arrest with ventricular arrhythmias (“shockable rhythms”) were randomized to be cannulated to undergo extracorporeal membrane oxygenation (ECMO), or receive continued advanced cardiac life support (ACLS) without ECMO. …
A retrospective cohort study of 483 South Korean recipients demonstrates how much age and time to initiation negatively impact outcomes after ECPR.
Patients older than 65 had markedly worse outcomes generally, with <10% survival when ECPR was initiated after 21 minutes, and <1% survival after 40 minutes (compared to similar outcomes with initiation at 38 and 73 minutes, respectively, for younger patients).
Age and time interacted, meaning each minute of delay negatively impacted outcomes proportionally more in older patients.
We discussed the influence of age on in-hospital cardiac arrest outcomes here:
Should age influence duration of CPR for cardiac arrests in the hospital?
This is a series of articles on the duration of CPR for in-hospital cardiac arrest. An index to all posts in the series can be found here:
New CPR guidelines: What changed?
New guidelines on cardiopulmonary resuscitation in adults were published in Circulation in November 2024. They’re 187 pages long.
THE REAL-WORLD BOARDS: Question #1
These are the Real-World Boards. As in the real world, there might be no single right answer, and you are only competing against yourself. Please share your experiences, discuss and critique this question below. Good luck! -Ed.
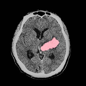
Minimally invasive surgery for intracerebral hemorrhages (MIND trial)
After the ENRICH trial showed improvement in long-term neurologic outcomes among patients with intracerebral hemorrhage treated with minimally invasive surgery, the ongoing MIND trial was stopped early for ethical considerations.
An analysis of MIND’s outcomes did not show that minimally invasive surgery was beneficial among the ~235 patients enrolled, but there were significant differences in the patient populations between the two trials and the devices used.
Hemorrhages affecting cerebral lobes (i.e., lobar) seem to benefit more from minimally invasive surgery than bleeds involving deep structures like the thalamus or basal ganglia.
Minimally-invasive surgery to evacuate intracerebral hemorrhages improved outcomes (ENRICH trial)
Patients with certain spontaneous intracerebral hemorrhages treated with minimally invasive surgery had improved functional outcomes compared to those treated with usual care, the ENRICH randomized trial showed.








