The Year in Critical Care: Neurology and Neurocritical Care
Part 5 of the 2025 year-end roundup
Blood transfusion targets in acute brain injury: Review (Updated)
This review was first published in October 2024; it is updated here with important new results from the SAHARA trial (English et al NEJM 2024), with a series of (rough) meta-analyses of recent data. -Ed.
How can we tell if an unresponsive patient is "in there"?
The critical care world was shaken to its psychological foundations by the discovery of cognitive motor dissociation, a phenomenon dubbed “covert consciousness” in which brain testing reveals that a non-trivial proportion of comatose patients can understand and execute cognitive commands such as “imagine yourself playing tennis”.
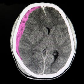
Middle meningeal artery embolization for subdural hematoma
Adjunctive embolization in subacute or chronic subdural hematoma (EMBOLISE trial)
The Real-World Boards: Question #12
These are the Real-World Boards. As in the real world, there is often no “right” answer, and you are only competing against yourself. Upgrade to the Lifelong Learner level for full access to all the questions and unlimited CME credits with an included Learner+ account.
Brain death imaging tests are unreliable (INDex study)
To help make the diagnosis of brain death, specialized brain imaging tests are endorsed in many U.S. hospitals’ policies for patients who cannot complete an apnea test or other key aspects of the exam.














